INVISALIGN
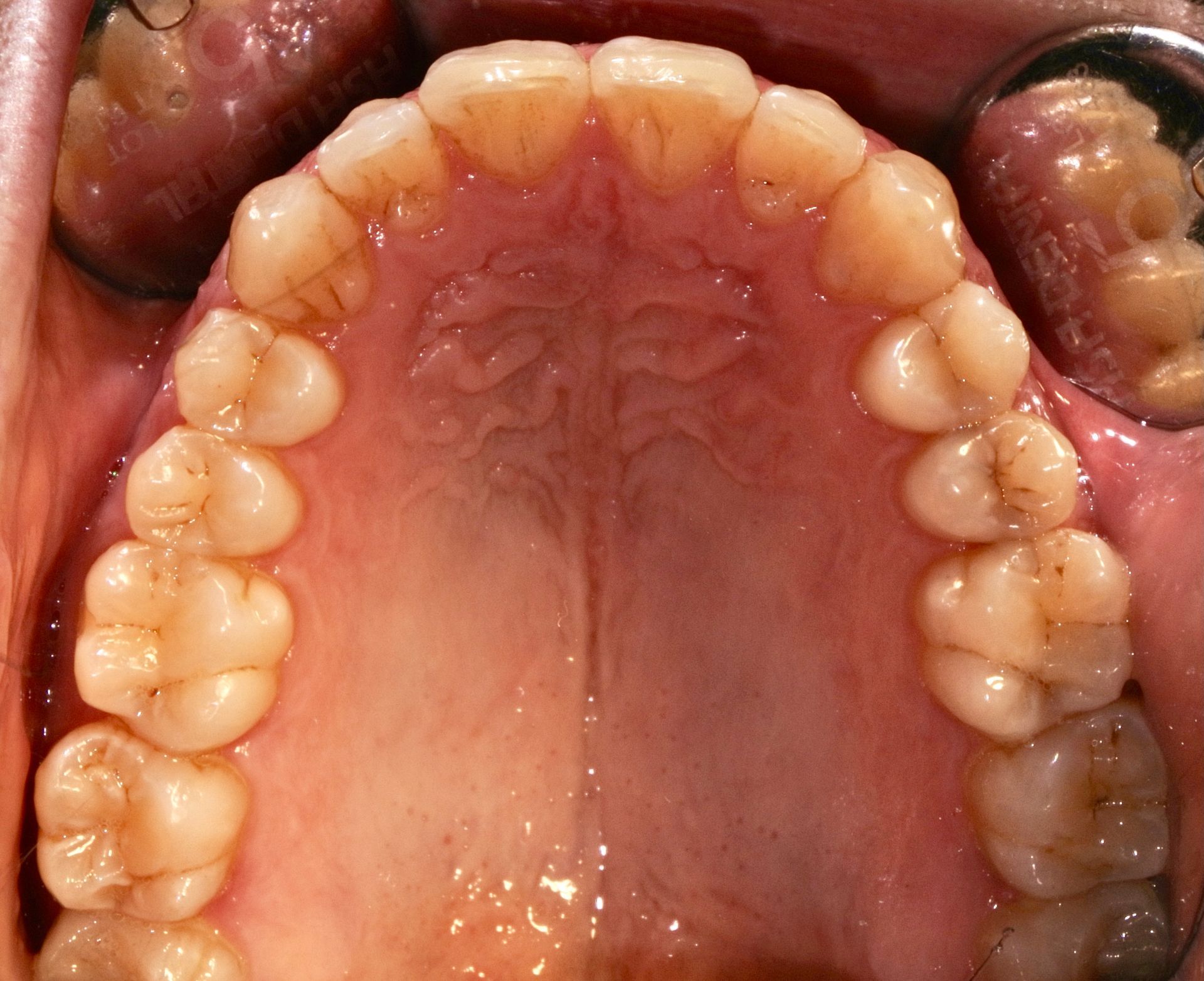
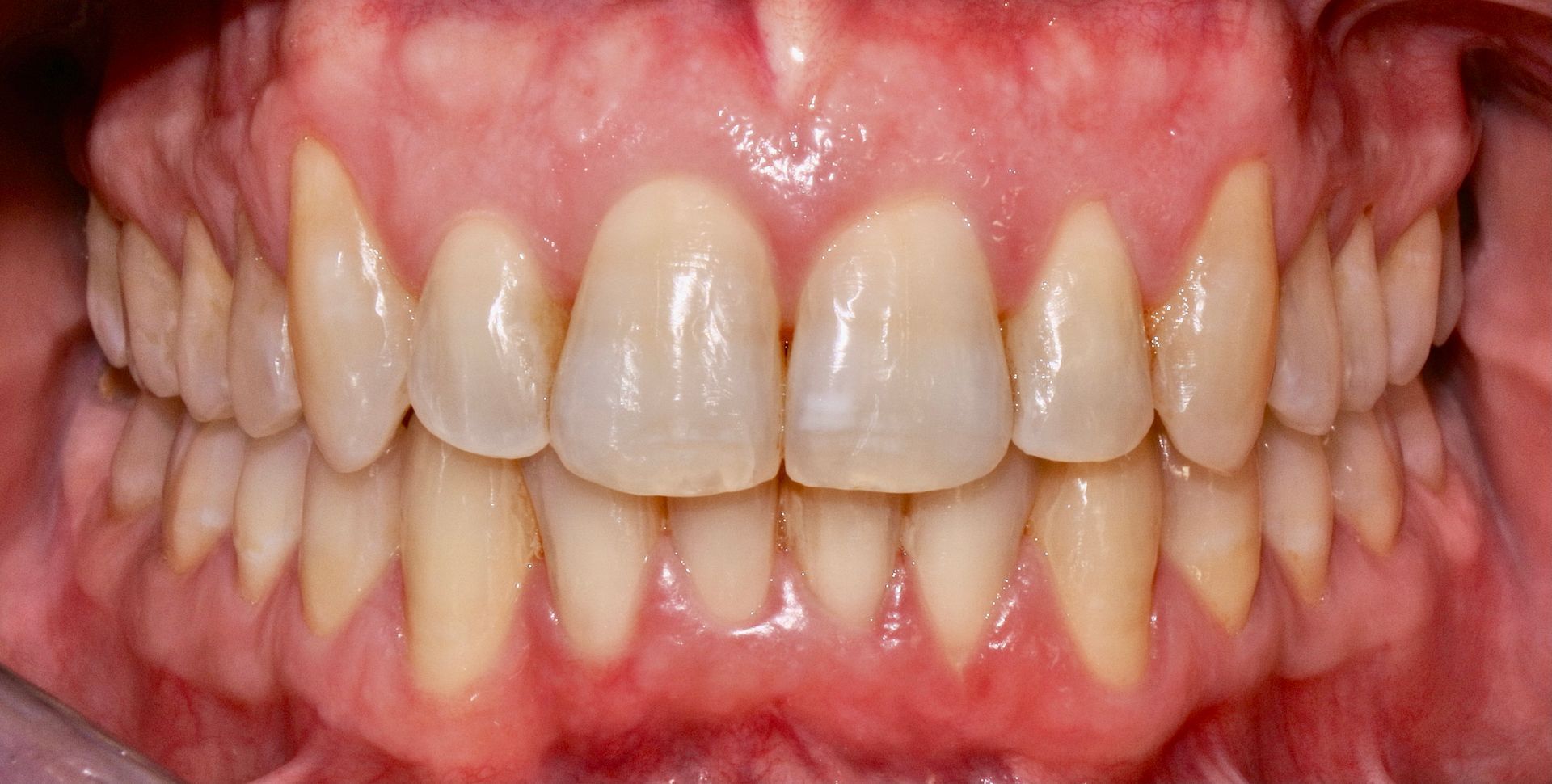
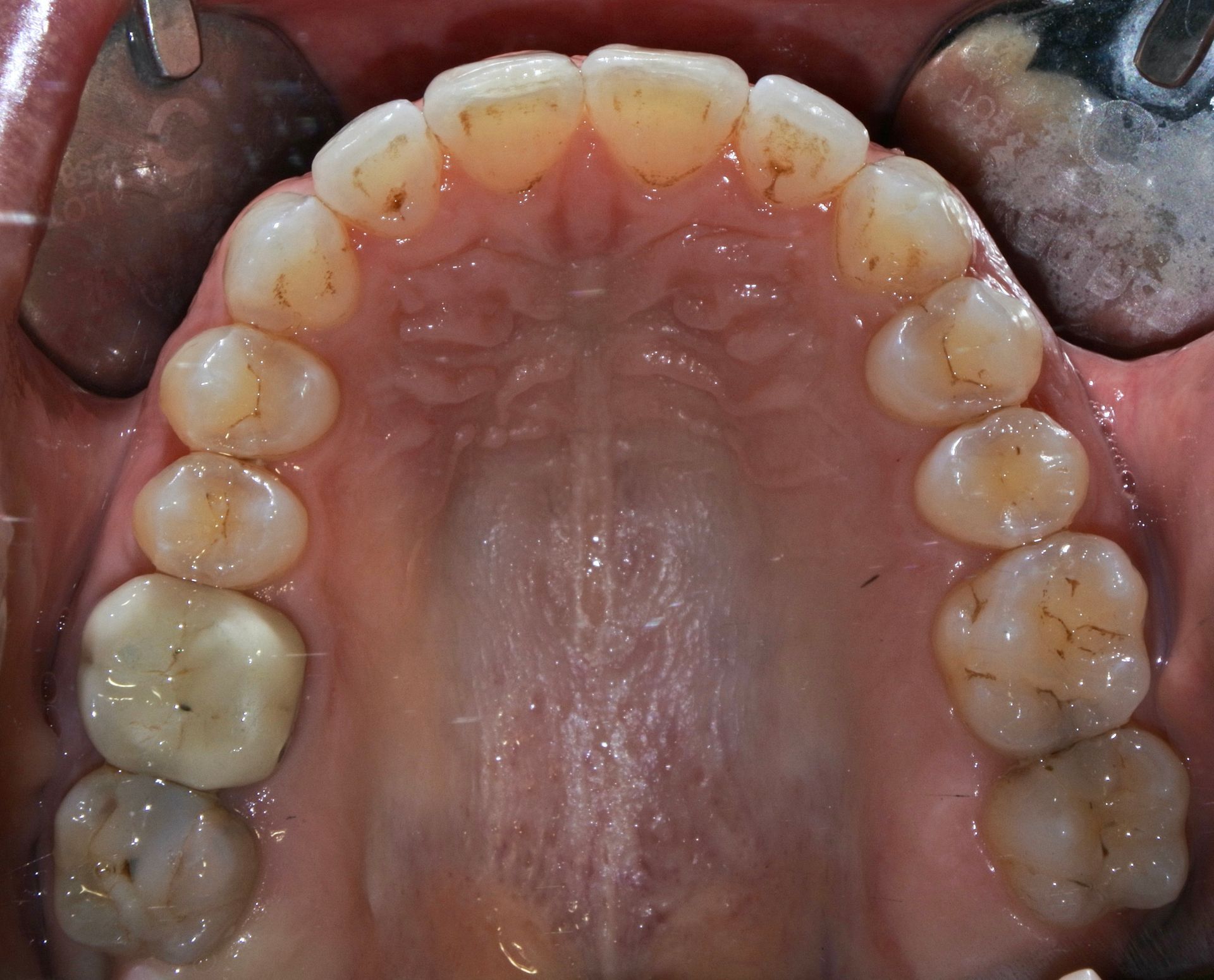
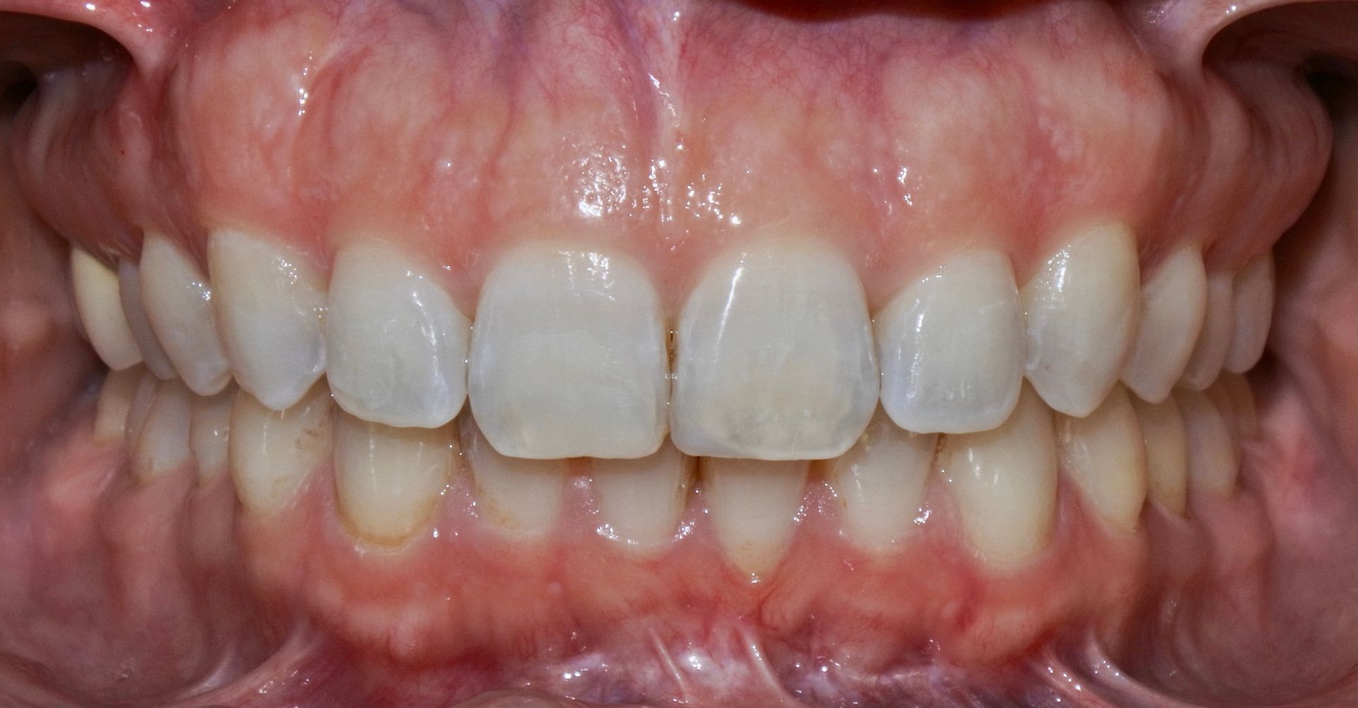
INVISALIGN è un sistema di mascherine trasparenti (aligner) studiato per permettere una elevata predicibilità dei movimenti dentali e della durata del trattamento.
Si tratta di una soluzione invisibile ed efficace per l'allineamento graduale dei denti.
Ciascun singolo movimento migliora il sorriso, in modo delicato.
Le mascherine personalizzate, praticamente invisibili, vanno indossate dal paziente 20/22 h al giorno, consentendo così di poter mangiare e lavare i denti senza problemi.
Questo è l'enorme vantaggio rispetto all'ortodonzia tradizionale, dove i brackets (attacchi) sono fissi sui denti.
Utilizzando lo scanner iTero Element, lo specialista effettuerà una scansione 3D delle arcate ed attraverso un software dedicato definirà un piano di trattamento specifico per ciascun paziente.
Tale software rende possibile previsualizzare il risultato finale del trattamento grazie ad una simulazione digitale.













